Minden, amit tudni akartál a hátfájásról

Miért alakul ki? Életmód kérdése? Mennyire kell komolyan venned? Mik a rövid- és hosszútávú következmények? Mennyire veszélyes? Érinti a gyerekeket is? És végül a legfontosabb: mik a fájdalom és az okok kezelésének lehetőségei? Elmondunk neked mindent, ami csak a hátfájásról érdekes lehet.

kulcs a gerincoszlop hátfájdalom diagnosztika következmények gyerekek esetében ellenszerek az ülőmunka veszélyei további kockázatok az aktív ülés műtét után SpinaliS rendszer a te véleményed

A hátfájás kulcsa: a gerincoszlop

Mielőtt részletesen végig vennénk a téma minden aspektusát, meg kell vizsgálnunk egy dolgot, amit a legtöbb szakmai cikk teljesen hanyagol. Jogos ugyanis a kérdésed: miért érinthet ma tömegeket a hátfájás? Ennek természetesen számtalan oka van, élen az életmódunkkal, de az első az, hogy a gerincoszlop egy félkész épület, ami nem elég stabil ahhoz, hogy építése közben tegyük ki egy erős hurrikánnak.

Bár a gerincet elképzelve egy jellegzetes, többszörösen ívelt, alapvetően függőleges valamit képzelünk el, a legtöbb emlős esetében ez hibás kép. A gerinc eredendően vízszintes orientációjú, rajta pedig a teher függesztve helyezkedik el. Az emberi gerincoszlop szinte összes problémája abból adódik, hogy a Homo Erectus nevű előember kb. 1,5 millió évvel ezelőtt felegyenesedett.

A felegyenesedéssel együtt a gerincoszlop immár nem szélben ringó szárítókötél többé, hanem zászlórúd - ami még mindig zsinórból van.

A természet persze megpróbál alkalmazkodni az életmód változásához: az evolúció azóta megalkotta a gerinccsigolyák közti porckorongot, hogy a függőleges terhelés ne kezdje ki a csigolyákat, illetve kifejlődött a törzsizomzatnak a gerincet erősebben tartó része is, ám ezen a ponton az ember ismét változtatott a játékszabályokon: az utóbbi évezred során egyre többen kezdtek ülni.

Az evolúció lassú folyamatának egy millió év sem jelent sok időt, így pár száz vagy pár ezer év alatt bekövetkező változásokkal nehezen tud lépést tartani. Az utóbbi évszázadok ülőmunka-forradalma a frissen létrejött gerincoszlop-törzsizomzat párost szembeállította az ülőmunka és a mozdulatlanság démonával, mely úgy tűnik, legalább akkora kihívás, mint a felegyenesedés volt anno.

A gerinc evolúciójáról ide kattintva részletesebben is olvashatsz.

Amikor tehát a hátfájdalomról beszélünk a következőkben, ne arra gondoljunk, hogy egy kész és tökéletes rendszer (az emberi test) hibás működéséről van szó, sokkal inkább képzeljük el úgy a helyzetet, hogy az egy építés alatt álló felhőkarcoló, ami még kész sincsen, mi mégis napról napra teljesen más kihívásokat támasztunk számára. Az építőmunkások megpróbálnak megfelelni az aznapi elvárásoknak, miközben munkájuk holnapra lehet, hogy semmit sem fog érni.

Diagnosztizáld a saját hátfájásodat

A lassan bekövetkező változásokról hajlamosak vagyunk kevésbé tudomást venni, vagy természetes jelenségnek tartjuk őket. Az évek, évtizedek alatt lassacskán kialakuló, majd egyre súlyosabb hát- és gerincbántalmakkal is sokan így vannak, egészen addig, amíg már az életminőségüket is tevőlegesen rontja.

Általában olyan kérdések merülnek fel a témával kapcsolatban, mint hogy mennyire is súlyos tulajdonképpen a hátfájásom, a korral járó "természetes" jelenségről van-e szó, mikortól érdemes komolyan venni, illetve természetesen hogyan lehet megelőzni vagy enyhíteni a kialakult panaszokat?

Az első kérdésre, vagyis hogy mennyire súlyos a hátfájdalmam, azt mondhatjuk, hogy itt nem a súlyosság a kérdés, hanem a jelenség megléte: a hátfájdalom semmilyen korban sem normális vagy természetes jelenség. Ha fáj, akkor annak valamilyen oka van (ezekről az okokról a cikkben később még rengeteg szó lesz). A fájdalom erőssége lehet kérdéses, de a fajtája mindig egyértelműen azonosítható: lehet közönséges (nociceptív) vagy ideig (neuropátiás) eredetű.

Közönséges vagy idegi eredetű a hátfájdalom?

A nociceptív fájdalmat gyakran okozza valamilyen trauma keltette izomsérülés vagy más szövetkárosodás. Egy-egy esés, karambol vagy más behatás után a sérült résznek a gyógyuláshoz időre van szüksége, a folyamatot pedig fájdalom kísérheti. Ez a típusú fájdalom magától vagy kezelés hatására általában teljesen és nyom nélkül megszüntethető.

Ezzel szemben a neuropátiás eredetű fájdalmat nagyon komolyan kell venni, hiszen ez mindig valamilyen komolyabb idegrendszeri probléma jele. Oka igen ritkán gyógyul magától, a fájdalom pedig legtöbbször erősödő és krónikus. A neuropátiás fájdalom legkönnyebben megelőzéssel kerülhető el, mely sok testmozgást, de még inkább egészséges ülést, ergonomikus aktív ülés rendszerű székeket takar.

Alsó vagy felső tájéki a fájdalom?

A szakirodalom a hátfájdalmat attól függően bontja ketté, hogy hol jelentkezik.

A felső tájékra tartozik a nyaki gerincszakasz, illetve a hát felső része is, de az itt jelentkező problémák kisugározhatnak a vállakra, a fejre vagy a mellkasra is. Veszélyei összetettek, súlyos esetben ugyanis akár érzékkiesést is okozhat a végtagokban, de látászavarokkal, zsibbadással, fejfájással is járhat. Jelentkezhet hirtelen trauma (például sportsérülés), de folyamatos terhelés következtében is. Ez utóbbit jelentheti például a rossz, karfa nélküli irodaszék, mely nem tudja tehermentesíteni a váll-övet. A dolog csapdája, hogy a tehermentesítés okán bekövetkező izomgyengülés később éppen ilyen problémákat okozhat.

Az alsó tájékot érintő fájdalmat szokták egyszerűen csak derékfájásnak nevezni. Ritkább esetben ez is kialakulhat traumától (nehéz tárgy emelése, esés, ütés), egyes betegségektől (vírusfertőzés, artrózis, csont- és gerinc-rendellenességek), itt azonban jellemzőbb a lassan erősödő, krónikus fájdalom, mely többnyire az ülőmunkából következik. Sajnos manapság ez a fajta fájdalom igen nagy arányban vezet gerincsérvhez, erről később még részletesen lesz szó.

Akut, szubakut vagy krónikus hátfájdalom

A hátfájdalmat annak hosszától függően általában három csoportba sorolják:

Az akut fájdalom általában rövid ideig tartó, szúró vagy hasogató jellegű, maximum 6 hétig van jelen. A szubakut fájdalmat ezzel szemben már a 6-12 hetes időtartam jellemzi. Okaik általában nem ideig eredetűek, és jellemzően aszimmetrikusan, a testnek csak az egyik oldalán jelentkeznek.

Az ezeknél is hosszabban meglevő fájdalmat már krónikusnak tekintjük. Ennek oka általában mélyről jövő, idegi eredetű. Jellemző, hogy a test mindkét oldalán, szimmetrikusan, azonos erősségben érzékeljük. Általában progresszív, vagyis a fájdalomérzet erősödik az idő múlásával. Pont a hosszan tartó jellegéből adódóan idővel alvászavarokat, hangulatingadozást, depressziót is okozhat.

A hátfájás típusairól, erősségéről és okairól ide kattintva egy másik cikkünkben részletesebben is olvashatsz.

A hátfájás következményei

A legsúlyosabb következmény: a porckorongsérv

De mi is az a porckorong? Ez a gerinccsigolyák között található porcos réteg, mely gondoskodik arról, hogy gerincoszlopod a felegyenesedett életmód jelentette vertikális terhelésnek is rugalmasan tudjon ellenállni és a gerinccsigolyák ne koptassák egymást. Anyaga legjobban egy sűrű rosthálóhoz hasonlít, mely az említett rugalmasság mellett hatékonyan meg is támasztja a gerinc elemeit, amikor azok - a legtöbb emlős csigolyáival szemben - nem egymás mellett, hanem egymás felett, egymásra nehezedve helyezkednek el.

A porckorongokat a természet mozgásra (vándorlásra, vadászatra, fizikai megpróbáltatásokra) tervezte, nem pedig a folyamatos, napi több órás, statikus, ülés jelentette egyenetlen terhelések kivédésére. A folyamatos, változatlan presszió rosszabbat tesz nekik, mint a változatos terhelések.

Mivel a porckorongoknak nincsen saját ideg- és keringési hálózatuk, így önmagukban nem tudnak fájni, valamint a rugalmasságukhoz szükséges tápanyagokat is a környező izomzatból veszik fel. A mozgáshiányos életmódnak és a passzív, rossz székeken való ülésnek éppen az a veszélye, hogy a hátizomzat letapad, keringése csökken, benne salakanyagok rakódnak le (ekkor érezzük, hogy "beállt a hátunk"), így a porckorongok sem jutnak éltető anyagokhoz, és kiszáradnak. Ez a porckorongsérvhez vezető egyik leggyakoribb út.

A kiszáradó porckorongokról ide kattintva találhatsz részletes anyagot.

A porckorong szerkezete kettős: míg kívül erős rost alkotja, belül kocsonyás anyag. Utóbbi víztartalma a test öregedésével csökken, így változik annak rugalmassága is. E folyamat a csigolyák és csigolyaközök meszesedésével együtt oda vezethet, hogy a külső rostos szekció könnyebben szakadhat, a szakadás helyén pedig a belső rész előboltosul. Ezt nevezi a szakirodalom sérvnek. Ritka esetekben még ezen a ponton is fel tud lépni gyógyulás magától, általában azonban valamilyen orvosi beavatkozást igényel.

Milyen előjelei vannak a gerincsérvnek?

Gerincünk összesen 35 csigolyából és köztük 23 kulcsfontosságú porckorongból álló bonyolult rendszer, melynek legapróbb változásait is azonnal érezzük. Ez az érzés sajnos már a probléma legelején a fájdalom, hiszen a gerincben húzódó idegrostok majdnem mindig érintettek az elváltozásokban. Amint a későbbiek során még részletesen ismertetett kiboltosulás létrejön, helyzetétől függően több-kevesebb ideget is ingerelhet. Ennek függvényében lehet a jelentkező fájdalom is tompa, folyamatos, vagy bizonyos mozdulatok, testhelyzetek esetén jelentkező erős, belenyilalló. Idővel ezek egyszerre is felléphetnek. Ezek az idegnyomások a test más rendszereinek működését is érinthetik, például a bél- vagy a hólyagműködést.

Mik a porckorongsérv közvetlen előzményei?

Az ülőmunkából eredő életszokások az évek alatt nem a szokásos, a gerinc teljes hosszán jelentkező egyenletes összenyomódás-felengedés terhelést róják a gerincre, hanem annak csak bizonyos szakaszait terhelik, azokat viszont folyamatosan. Ráadásul aszimmetrikusan, egyirányúan és sokszor a minimális gerincferdülés miatt oldalirányúan is. Egy ideig, fiatal éveinkben a csigolyák még képesek ilyen napi többórás megpróbáltatások után is alaphelyzetbe visszaállni (ez az időszak sportolással kitolható), de egy ponton túl az elváltozások kezdenek visszafordíthatatlanná válni. Bizonyos életkor felett már a napi rendszeres sporttevékenység sem képes ellensúlyozni a 8-12 órás ülőmunka jelentette veszélyeket.

Az ülőmunka során jelentkező aszimmetrikus terhelés az esetek 95%-ában a negyedik és ötödik csigolya között jelentkezik, és nem véletlen, hogy ugyanitt és ugyanilyen arányban bukkan fel a deréktáji porckorongsérv is.

Hogyan alakul ki a porckorongsérv?

Társadalmunk nagy részét érinti az irodai munka jelentette kockázatcsomag, így az aszimmetrikus csigolyaterhelés is. Ez idővel az esetek többségében oda vezet, hogy a külső rostos rész valahol megsérül, és a belső zselés mag kiboltosul. A sérv ezzel létre is jött.

A sérvnek több fokozata is ismeretes: a legenyhébben a boltosulás csak apró, ritkábban magától vissza is húzódik megfelelő orvosi segítség és/vagy aktív ülést garantáló SpinaliS szék segítségével. Súlyosabb esetben azonban a külső rész teljesen átszakad és a belső kocsonyás szekció teljesen eltűnhet. Ez az igen erős fájdalom mellett a környező izomzatot arra ösztönzi, hogy a gerinc megbomlott egyensúlyát megpróbálja helyrehozni, ezt a csatát azonban nem lehet megnyerni. A mély hátizomzatban a plusz teher miatt idővel görcsös csomók alakulhatnak ki, amik csak fokozzák a fájdalmat és együttesen tovább csökkentik a mozgásképességet. Minél kiterjedtebb a probléma, annál több más területet érinthet: végső esetben már fellép a nyaki gerincszakasz elváltozása is, karöltve ízületi meszesedéssel és leépüléssel.

Bár legtöbb esetben a fent jelzetteknek megfelelően a lumbális, deréktáji szakaszon alakul ki a gerincsérv, ritkábban a nyaki szakaszon is megjelenhet hasonló elváltozást, általában ugyanúgy az ülőmunkával és az egészségtelen székkel összefüggésben.

Mik a kialakult gerincsérv tünetei?

A gerincsérv állapotától, helyzetétől és a kiboltosulás pontos jellemzőitől függően az alábbi tünetek az életminőséget minimálisan, vagy akár igen erősen érintően is jelentkezhetnek. Jellemző szimptómák:

  • lumbális szakaszon jelentkező gerincsérv esetén főleg az alsó végtagok irányába kisugárzó fájdalom
  • a sérv helyéről kisugárzó fájdalom akár belszervi panaszokat, további belső fájdalmakat is indukálhat
  • izomgyengeség, ami azt az izmot vagy izomcsoportot érinti elsősorban, amelyiknek az ideggyökét a sérv nyomja
  • érzészavar vagy zsibbadás jelentkezése
  • reflexcsökkenés vagy reflexkiesés
  • vegetatív zavarok, amik sokszor vizelet- vagy széklettartási problémák

Felismerés, diagnózis és kezelés

A porckorongsérv felismerését érdemes szakképzett orvosra bízni, aki tünetek alapján ezt nagy biztonsággal meg is fogja tenni. A diagnózist ortopédiai és neurológiai vizsgálatokkal lehet pontosítani, a sérv helyét pedig MRI vizsgálatokkal lehet tökéletesen behatárolni.

Sajnos a porckorongsérvet ma még nehéz hatásosan kezelni. A fájdalom csillapításán túl és a környező izomzat rehabilitálása mellett a kiváltó okokat a legnehezebb megszüntetni, hiszen a rossz székekben végzett tartós ülőmunkán a rendszeres sport, a gyógytorna, a fizikoterápia vagy a súlyfürdő is csak részben enyhíthetnek. Legsúlyosabb esetekben csak a műtéti beavatkozás az egyetlen út.

A porckorongsérvről további információkat ide kattintva tudhatsz meg.

A hátfájdalmak ma már a gyerekeket is érintik

Eddig elsősorban az egész napjukat az irodában töltő felnőttekről esett szó, de nem mehetünk el a tény mellett, hogy ma már gyakorlatilag az iskolába való bekerüléstől, vagyis 7-8 éves kortól mindenki ülve tölti mindennapjai nagy részét. Az iskolából hazatérve a gyerekek otthon is egészségtelen, hagyományos forgószékekben ülnek a számítógép előtt akár leckéjüket írva, akár játékokat játszva, este pedig fekszenek a tablet alatt/fölött, és az összes digitális tartalmat valamilyen képernyőn keresztül fogyasztják.

Pár évtizeddel ezelőtt a hátfájás, de különösen a gerincsérv még elszigetelt jelenség volt, ami főleg csak az idősebb korosztályt érintette. Manapság azonban olyan sokan és olyan sokat ülnek, hogy a hátfájdalom népbetegség lett, és rengetegen szenvednek tőle a 20-as korosztály tagjai közül is.

Aki azonban azt gondolná, hogy a sok ülés csak manapság okoz egészségügyi kockázatokat, annak idéznénk Virginia Woolf Orlando című művéből a sokat ülő londoni polgár, jelen esetben a költő diagnózisát:

"De, és ez a legrosszabb, tette hozzá, néha olyan bántalmakat érez a hátgerincében, amelyek egyszerűen leírhatatlanok. Így például egyik csigolyája, felülről a harmadik, tüzes vasként égeti; egy másik, ha nem csalódik, alulról számítva a második, viszont olyan hideg, mint a jég."

A fiatalok, de főleg a szüleik még abban a szerencsés helyzetben vannak, hogy a sokasodó fenyegetések ellenére a megelőzés útjára léphetnek, ami messze a leghatékonyabb módszer mind közül a derékproblémákkal szemben.

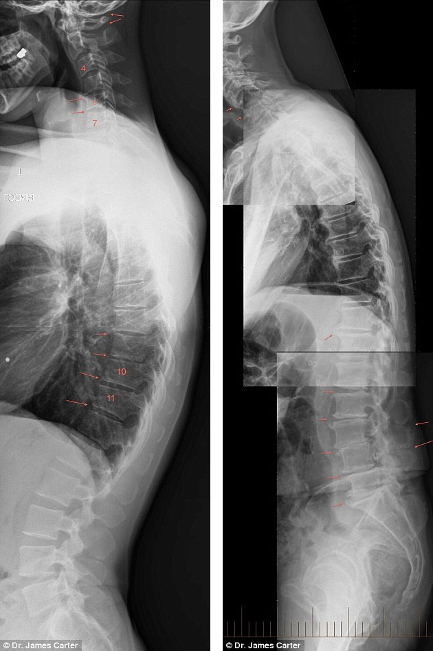
Az SMS-nyak és a tablet-hát kifejezéseket először James Carter ausztrál orvos vezette be, amikor olyan röntgen-felvételeket tett közzé, melyen nagyon fiatal, akár 6-7 éves gyerekek nyaka és háta látható, a rajtuk fellelhető jelentős elváltozásokkal. A szakember, aki korábban az Australian Spinal Research Foundation (Ausztrál Gerinckutató Társaság) elnöke volt, a jelenség széles közben való terjedésére hívja fel a figyelmet számos más ortopéd orvos kollegájával egyetemben.

A helyzet napjainkra odáig fajult, hogy a legfrissebb generációk tagjai már a szüleiknél is többet ülnek és náluk is több digitális eszközzel rendelkeznek, ami azt is jelenti, hogy még többet van egészségtelen pozícióban a gerincük és a nyakuk. Ez őket ráadásul hatványozottan érinti, hiszen növekedésben vannak.

A kifacsart testhelyzetek, elsősorban az előre biccentett nyak és a lefelé, a telefont bámuló fejtartás nem csak ülés vagy fekvés, de közlekedés, álló testhelyzet közben is jelentkeznek. Ezek nem csak maradandó nyaki problémákat okoznak, de kihatnak a teljes gerincszakaszra és hozzájárulhatnak akár a púposság kialakulásához is.

A gyerekeket fenyegető gerincproblémákról ide kattintva olvashatsz részletesebben.

A megelőzés a legerősebb fegyver a gyerekeknél

A kötelező szűrővizsgálatok, a gyógytorna vagy a normál testnevelés-órák számának emelése ezeken a tendenciákon csak fékezni tud, de megszüntetni őket semmiképpen sem. Az egyetlen és hatékony megoldás az lehet, ha a gyerekek legalább akkor aktív ülést jelentő SpinaliS székekben töltik az idejüket, amikor csak lehet.

A SpinaliS hatékonyságának igazolására 2006 és 2011 között Szlovéniában széles körű tesztet végeztek, melynek keretében több általános iskolai osztály padjait is SpinaliS rendszerű, aktív ülést biztosító ülőlappal látták el. Az éveken át, több ciklusban zajló vizsgálat során a gyerekek mozgásszervi rendszerét vizsgálva kimutatták az aktív ülés pozitív hatásait, melyről részletes szakvéleményt is közzétettek. Az anyag kiemelte, hogy aktív SpinaliS ülés segítségével a gyerekek figyelme nem lankad, keringésük élénkebb, ezáltal hatékonyabban tanulnak és jobban figyelnek, nem alszanak el a helyükön, megerősödnek a törzsizmaik a folyamatos mozgástól, valamint csökkent a degeneratív gerincelváltozások száma is.

Mit tehetek a hátfájás ellen?

Egészségünk kulcsa mindig a saját kezünkben van. Rajtunk múlik, mikor kezdünk el foglalkozni vele.

Az emberi testet nem korunk megpróbáltatásaira tervezték, ennek ellenére számtalan dolgot tehetünk annak érdekében, hogy a lehető legjobb kondícióban tartsuk. Ez különösen igaz a gerincünkre, aminek helyes használatához ma már számtalan tudományos kutatás és a megfelelő eszközök is a rendelkezésünkre állnak.

A megelőzés a legerősebb fegyver

A megelőzés a legerősebb fegyver

Természetesen mondani könnyű, mégis amíg még időben elcsíphetőek az életformából eredő kockáztok, addig érdemes cselekedni. A felmérések és a tapasztalataink is azt mutatják, hogy bár az egészségtudatos dolgozók tábora évről évre nő, a megkérdezetteknek mindössze 20%-a hisz a megelőzés fontosságában, az utólagos kezeléssel szemben.

Reményt keltő adat, hogy a CGI Pannónia felmérése szerint a megkérdezettek 57%-a elégedetlen a hazai egészségügyi ellátás színvonalával, és szívesen áldoz többet jobb (magán) praxisokra, illetve megelőzésre is.

Dr. Pavluska Valéria 2015-ös kutatása szintén arra mutat rá, hogy - elvben legalábbis - a megkérdezett magyarok körében az egészség a legfontosabb érték (megelőzve még a családot, a biztonságot és a boldogságot is).

Ha tehát tehetjük, válasszunk gerinckímélő megoldásokat ülőmunkánkhoz, elsősorban arra alkalmas széket. Persze nehéz kérdés elkülöníteni a marketinglőzungokat és a valódi teljesítményt, de fontos kiemelni, hogy vannak olyan megoldások, amiket az orvostársadalom is elismer. Ezek közül talán a legteljesebb a SpinaliS székcsalád és gerincvédelmi rendszer, mely nem a tünetek enyhítésére fókuszál, hanem az okokat szünteti meg. Nem véletlen, hogy az Országos Gerincgyógyászati Központ elismerő szakvéleményt is kibocsájtott velük kapcsolatban.

Arról, hogy mitől valóban gerincbarát egy szék, ide kattintva olvashatsz részletesebben.

A tünetek enyhítése

Nagyon fontos, hogy ha már kialakult, diagnosztizált, idegei eredetű hátfájdalommal rendelkezünk, netán gerincsérvünk is van, akkor feltétlenül kérjük ki a szakorvosunk véleményét.

Az enyhébb fájdalmakat alternatív módszerekkel enyhíthetjük. A gyógymasszőr és a csontkovács az esetek jelentős részében hozhat enyhülést. Ezen túl vannak más, szakember felügyelete alatt végezhető fizioterápiás módszerek. Végső esetben ott a műtét lehetősége is, de ezt az azzal járó kockázatok miatt általában a szakorvos sem javasolja, csak ha már muszáj.

Ide kattintva kérhetsz segítséget a SpinaliS nagykövetektől, akikkel szakmai együttműködés keretében harcolunk a hátfájdalom ellen.

A végleges megoldás

Természetesen eset és eset között óriási különbségek vannak, de ma már általánosnak mondható gyakorlat, hogy maguk a szakemberek küldik hozzánk a derékfájásban szenvedőket, sőt sokszor még a komoly műtéten átesetteket is, hogy aktív ülést garantáló SpinaliS székeket mutathassunk nekik. Miért? Azért, mert legtöbbször a szék a hibás.

Tényleg az ülőmunka a legfőbb felelőse a hátfájásomnak?

Igen. Fontos leszögezni, hogy a hátfádalom ma már az életmódunk egyenes következménye, sőt, egyesek szerint annak szerves része. Van azonban ellenszere.

Ülés közben a gerincoszlop olyan irányokban türemkedik ki normál görbületéből, amikre a természet nem készítette fel. Számítógépen végzett munka közben sokan előre hajolunk, más szóval görnyedünk az asztalnál, ami a deréktáji gerincszakaszt terheli túlságosan. A porckopás elsősorban a negyedik és ötödik csigolya között jelentkezik, mert a hagyományos székek a medencét rögzítik, felsőtestünk minden mozgása így e két csigolya között, az itt levő porckorongban jelentkezik. A legtöbb egyszerű szék deréktámasza ezt a pontot nyomja meg, ezzel látszólag megoldva a problémát. A nyomás lehet kényelmes, de semmiképpen sem egészséges, két okból sem.

Egyrészt a megnyomott, kitámasztott deréktáji gerincszakasz környékén az amúgy is gyenge törzsizomzat tovább gyengül, így a testnek sem ülés közben, sem azon kívül esélyes sincsen az egészséges tartáshoz elég erőt kifejteni. Másrészt a nyomás, legyen az bármilyen finom is, nem segít a kezdődő sérv kezelésében vagy visszafordításában. Csendesen segédkezik, hogy a probléma még súlyosabb legyen, miközben mi úgy érezzük, hogy időlegesen enyhülnek a fájdalmaink.

Mindezekre a problémákra van megoldás, ami természetesen nem az ülés azonnal beszüntetése. Az alap probléma a medence és a test nagy részének mozdulatlansága. Ahogy a szakorvos mondja: a statikus helyzetek a legrosszabbak. Az aktív ülés rendszer azzal küszöböli ezt ki, hogy a minden irányba szabadon és könnyen kitérő ülőlap engedi együtt mozogni a felsőtestet az alsóval. Ennek két jótékony hatása van:

  • a deréktáji gerincszakasz immár nem egy ponton hajlik, így a terhelés a kritikus szakaszon megszűnik, és teljesen egyenletesen oszlik meg
  • a folyamatos mozgástól a törzsizomzat visszaerősödik, így képessé válik újra feladatának ellátására: a gerinc egészséges helyzetét tudja támogatni minden testhelyzetben

Csodák nincsenek: a passzív ülőmunka okozta panaszokkal szemben csak az aktív mozgás jelenthet valódi és tartós segítséget. Ezért javasol a SpinaliS évtizedes gerincvédelmi koncepciót. Vannak azonban további kockázatai is SpinaliS nélkül végzett passzív ülésnek, amikről jobb, ha tudsz.

A tartós ülőmunka további kockázatai

Egy hátfájással és ülőmunkával kapcsolatos anyag nem mehet el azok mellett az egyébként igen súlyos kockázatok mellett sem, melyektől XXI. századi életformánk miatt vagyunk súlytva. Ezek csak látszólag állnak kapcsolatban a hátfájással, mégis általában vele együtt jelentkeznek.

Az alábbi listát, a teljesség igénye nélkül a Semmelweis Egyetem ETK Fizioterápia Tanszékének oktatói állították össze. Ebben szerepel a gerinc mellett az izmok és a szalagok terhelése is. Az ülőmunka összességében messze a gerincet legjobban terhelő tevékenység (álláshoz képest 180%-kal rosszabb). Erről a Nachemson-ábra is tudósít:

A passzív ülés folyományaként érrendszeri károsodás is jelentkezhet. A metabolikus szindróma esélye 26%-al magasabb az ülő életmódot végzőknél. Ennek jellegzetességei a magas vércukor- és koleszterinszint, illetve a megnövekedett vérnyomás, amik további problémákat indukálhatnak. Kísérő jelenség a magas vérzsír-szint, ami az agyban, a szívben és a vesében is érkárosodásokhoz vezethet, illetve növeli az agyvérzés, a szívnagyobbodás, a szívinfarktus és bizonyos vesebetegségek kockázatát is. A metabolikus szindróma további következménye lehet a nem alkohol eredetű zsírmáj, melyből májzsugor vagy májrák is kialakulhat. Ezek a kórképek a véráramba olyan anyagokat juttatnak, amik tovább növelik a fennálló kardiovaszkuláris kockázatokat.

Hagyományos ülés közben a vérbe kerülő inzulint a sejtek nem megfelelően ismerik fel, ez pedig túltermelő hasnyálmirigyhez vezet. A termelés nem áll le, hosszú távon a jelenség pedig akár cukorbetegséghez is vezethet.

Ugyanilyen nagy kockázat lehet az emésztési problémák csoportja is. A belek normális működését és mozgását a folyamatos, passzív ülés közbeni mozdulatlanság eleve akadályozza, ezért jelentkezik sokszor a haspuffadás (amit belsőleg, tablettákkal próbál enyhíteni az érintett, pedig a felelős alatta található, a széke formájában). A mozgáshiány sajnos a daganatok kockázatát is tevőlegesen növeli, ezt a vastagbélrák, a méhnyakrák és az emlőrák esetében statisztikailag ki is mutatták.

További probléma a visszeres kockázatok növekedése is. Passzív ülőmunka során nem ritka a végtagok, elsősorban a lábak dagadása, mely a visszér vagy a szívelégtelenség tünete is lehet. A tartós ülés közben a lábakban levő vénák kitágulnak, a vér pangani kezd, ez pedig akadályozza a keringést és növeli a trombózis veszélyét is.

A folyamatos passzív ülés következménye lehet a lágyuló hasfal, mivel ez nincs dolgoztatva egy hagyományos székben, valamint a feszes csípő, mely idős korra krónikussá válhat és akadályozhat a szabad mozgásban is. A farizomzat gyengülése szintén probléma, és az edzőteremben töltött drága órák eredményeit napról napra pusztítja.

A hátfájást tehát nem jár egyedül: a mozdulatlanságból számos további probléma következik. Ezek megelőzésére és kezelésére azonban van lehetőség.

A hátfájással együtt járó további kockázatokról ide kattintva olvashatsz részletesebben.

Gyógyír a hátfájásra: válts aktív ülésre!

Aki hónapok, évek vagy akár évtizedek óta szenved derékfájásban, már tudja, hogy az ide vezető út igen hosszú volt, és csak az életmód bizonyos elemeinek kicserélésével, javításával lehet tartós enyhülést elérni. Természetesen nem javasoljuk, nem javasolhatjuk senkinek, hogy hagyjon fel az ülőmunkával, azonban annak legproblematikusabb mozzanatát, az ülést és a széket egészségessé tehetjük.

A SpinaliS rendszerű forgószékek aktív ülés rendszere nem egyszerűen csak a mozgás szabadságát garantálja ülés közben, de

  • segít megelőzni a porckorongsérvet úgy, hogy tehermentesíti a derék legproblémásabb szakaszát, a negyedik és ötödik csigolya közti szakaszt, a medence teljes mozgásával
  • visszaadja a porckorongok vitalitását, mivel visszaerősíti a passzív üléstől elgyengült törzsizomzatot (így nem csak munka közben lesznek jótékony hatásai)
  • javítja a szellemi teljesítményt, hiszen a folyamatos aktív ülésnek hála felpezsdíti a végkeringést, javul az agy oxigén-ellátása és az emésztés is
  • folyamatos mozgást biztosít, így nagymértékben csökkenti a trombózis és más üléssel kapcsolatba hozható betegségek (például a cukorbetegség) kockázatát is

Műtét után is használható az aktív ülés?

Ez kényes kérdés és mindig ki kell kérni a kezelőorvos véleményét, hiszen minden eset más és más.

Fontos tudni, hogy a porckorong-műtét ma már az egyik leggyakoribb beavatkozás a gerincsebészetben. Dr. Bozsódi Árpád, az Országos Gerincgyógyászati Központ orvosa szerint ez a műtéttípus minimális szöveti destrukcióval jár. A porckorong sérvesedett részének eltávolítása után a felépülés gyors, a betegek általában 2-3 nap után már hazamehetnek. Természetesen a hosszabb távú rehabilitáció ennél több időt vesz igénybe, viszont már a műtét utáni első napon el szokták kezdeni, tehát a páciens nincsen mozdulatlanságra ítélve.

Az ilyen jellegű műtétek után a teljes felépülés kulcseleme (és a gyógytorna fontos része) a tözsizomzat visszaerősítése, vagyis pontosan az, amit a SpinaliS székek is tesznek, így hosszabb távon a SpinaliS kifejezetten nagy mértékben segítheti a teljes felépülést és a hosszú távú fájdalommentességet.

Általában a porckorong-műtét után 3 és 6 hét közötti az az időtartam, ami után a gyógyulás már elég ahhoz, hogy a betegek teljes mértékben elvégezhessék napi teendőiket. Ha az ülés nem tiltott számukra, akkor ettől az időszaktól lehet érdemes fokozatosan birtokba venni a SpinaliS aktív ülés rendszerét is.

Szakmai támogatás a SpinaliS mögött

A SpinaliS székekre a legjobb helyről, az Országos Gerincgyógyászati Központtól érkezett szakvélemény, amit egy tesztsorozat előzött meg. Az elismerő szavak pozitív hozadéka, hogy ma már nagyon sokan térnek be bemutatótermünkbe úgy, hogy kezelőorvosuk, terapeutájuk ajánlotta nekik a SpinaliS székeket.

További szakvéleményeket a SpinaliS rendszerrel kapcsolatban ide kattintva olvashatsz.

Folyamatosan dolgozunk azon, hogy a hátfájással napi szinten találkozó szakemberekkel szoros együttműködésben segíthessünk neked. Ezért indítottuk el SpinaliS Nagyköveti programunkat, melynek keretében az ország minden részéből együtt dolgozunk gerincgyógyászokkal, szakorvosokkal és más elhivatott szakmabeliekkel. Hozzájuk is fordulj bizalommal, ha további kérdéseid vannak.

SpinaliS Nagyköveteinket ide kattintva érheted el.

A SpinaliS-ra vonatkozó másik fontos elismerés az egészségpénztári támogatás. Forgalmazóként és elhivatottként cégünk hat egészségpénztárral áll közvetlen szerződésben, így az általuk kibocsátott kártyákkal könnyen és kényelmesen lehet SpinaliS székeket vásárolni. Természetesen a többi egészségpénztár is finanszírozza a SpinaliS-t, utólagos térítéssel.

További információkat az egészségpénztári támogatásról ide kattintva érhetsz el.

A legfontosabb szakvélemény tőled érkezik!

Hiszünk benne, hogy a legfontosabb a te tapasztalatod a kérdésben, így mielőtt még SpinaliS széket vásárolnál, teljesen ingyenesen, mindenféle kötelezettségektől mentesen próbaszéket biztosítunk neked saját munkakörnyezetedbe, egy hétre. Ha te is kipróbálnád, ITT MEGTEHETED.

KIPRÓBÁLOM!

NIETSCH Kft. 2023